$148.00/50µL $248.00/100µL
| 50 µL | $148.00 |
| 100 µL | $248.00 |
| Product name: | NBK rabbit pAb |
| Reactivity: | Human;Rat;Mouse; |
| Alternative Names: | BIK; NBK; Bcl-2-interacting killer; Apoptosis inducer NBK; BIP1; BP4 |
| Source: | Rabbit |
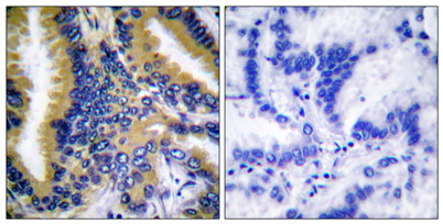
| Dilutions: | Western Blot: 1/500 - 1/2000. Immunohistochemistry: 1/100 - 1/300. Immunofluorescence: 1/200 - 1/1000. ELISA: 1/10000. Not yet tested in other applications. |
| Immunogen: | The antiserum was produced against synthesized peptide derived from human BIK. AA range:18-67 |
| Storage: | -20°C/1 year |
| Clonality: | Polyclonal |
| Isotype: | IgG |
| Concentration: | 1 mg/ml |
| Observed Band: | 30 25kD |
| GeneID: | 638 |
| Human Swiss-Prot No: | Q13323 |
| Cellular localization: | Endomembrane system; Single-pass membrane protein. Mitochondrion membrane ; Single-pass membrane protein . Around the nuclear envelope, and in cytoplasmic membranes. |
| Background: | The protein encoded by this gene shares a critical BH3 domain with other death-promoting proteins, such as BID, BAK, BAD and BAX, that is required for its pro-apoptotic activity, and for interaction with anti-apoptotic members of the BCL2 family, and viral survival-promoting proteins. Since the activity of this protein is suppressed in the presence of survival-promoting proteins, it is suggested as a likely target for anti-apoptotic proteins. [provided by RefSeq, Sep 2011], |



