$148.00/50µL $248.00/100µL
| 50 µL | $148.00 |
| 100 µL | $248.00 |
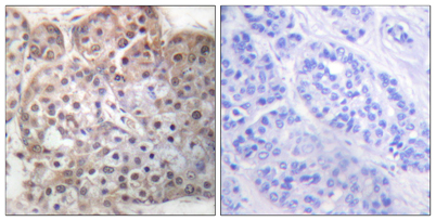
| Product name: | Stat5a/b (phospho Ser726/731) rabbit pAb |
| Reactivity: | Human;Mouse;Rat |
| Alternative Names: | STAT5A; STAT5; Signal transducer and activator of transcription 5A; STAT5B; Signal transducer and activator of transcription 5B |
| Source: | Rabbit |
| Dilutions: | Western Blot: 1/500 - 1/2000. Immunohistochemistry: 1/100 - 1/300. Immunofluorescence: 1/200 - 1/1000. ELISA: 1/20000. Not yet tested in other applications. |
| Immunogen: | The antiserum was produced against synthesized peptide derived from human STAT5A/B around the phosphorylation site of Ser725/730. AA range:696-745 |
| Storage: | -20°C/1 year |
| Clonality: | Polyclonal |
| Isotype: | IgG |
| Concentration: | 1 mg/ml |
| Observed Band: | 91kD |
| GeneID: | 6776/6777 |
| Human Swiss-Prot No: | P42229/P51692 |
| Cellular localization: | Cytoplasm . Nucleus . Translocated into the nucleus in response to phosphorylation. |
| Background: | The protein encoded by this gene is a member of the STAT family of transcription factors. In response to cytokines and growth factors, STAT family members are phosphorylated by the receptor associated kinases, and then form homo- or heterodimers that translocate to the cell nucleus where they act as transcription activators. This protein is activated by, and mediates the responses of many cell ligands, such as IL2, IL3, IL7 GM-CSF, erythropoietin, thrombopoietin, and different growth hormones. Activation of this protein in myeloma and lymphoma associated with a TEL/JAK2 gene fusion is independent of cell stimulus and has been shown to be essential for tumorigenesis. The mouse counterpart of this gene is found to induce the expression of BCL2L1/BCL-X(L), which suggests the antiapoptotic function of this gene in cells. Alternatively spliced transcript variants have been |



