$148.00/50µL $248.00/100µL
| 50 µL | $148.00 |
| 100 µL | $248.00 |
| Product name: | FoxO4 (phospho Ser262) rabbit pAb |
| Reactivity: | Human;Mouse |
| Alternative Names: | FOXO4; AFX; AFX1; MLLT7; Forkhead box protein O4; Fork head domain transcription factor AFX1 |
| Source: | Rabbit |
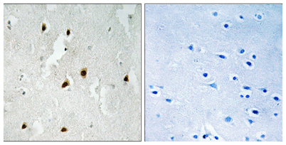
| Dilutions: | Western Blot: 1/500 - 1/2000. Immunohistochemistry: 1/100 - 1/300. ELISA: 1/10000. Not yet tested in other applications. |
| Immunogen: | The antiserum was produced against synthesized peptide derived from human FOXO4 around the phosphorylation site of Ser262. AA range:228-277 |
| Storage: | -20°C/1 year |
| Clonality: | Polyclonal |
| Isotype: | IgG |
| Concentration: | 1 mg/ml |
| Observed Band: | 54kD |
| GeneID: | 4303 |
| Human Swiss-Prot No: | P98177 |
| Cellular localization: | Cytoplasm. Nucleus. When phosphorylated, translocated from nucleus to cytoplasm. Dephosphorylation triggers nuclear translocation. Monoubiquitination increases nuclear localization. When deubiquitinated, translocated from nucleus to cytoplasm. |
| Background: | This gene encodes a member of the O class of winged helix/forkhead transcription factor family. Proteins encoded by this class are regulated by factors involved in growth and differentiation indicating they play a role in these processes. A translocation involving this gene on chromosome X and the homolog of the Drosophila trithorax gene, encoding a DNA binding protein, located on chromosome 11 is associated with leukemia. Multiple transcript variants encoding different isoforms have been found for this gene. [provided by RefSeq, Jan 2010], |


