Products

Smad4 rabbit pAb
One-click to copy product information
ES6162
Size: Price:
50 µL $148.00
100 µL $248.00

Overview

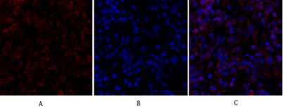
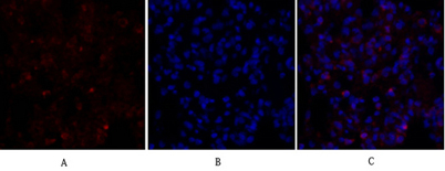
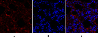
Product name: Smad4 rabbit pAb
Reactivity: Human;Mouse;Rat;Monkey
Alternative Names: SMAD4; DPC4; MADH4; Mothers against decapentaplegic homolog 4; MAD homolog 4; Mothers against DPP homolog 4; Deletion target in pancreatic carcinoma 4; SMAD family member 4; SMAD 4; Smad4; hSMAD4
Source: Rabbit
Dilutions: Western Blot: 1/500 - 1/2000. Immunohistochemistry: 1/100 - 1/300. Immunofluorescence: 1/200 - 1/1000. ELISA: 1/10000. Not yet tested in other applications.
Immunogen: The antiserum was produced against synthesized peptide derived from human Smad4. AA range:21-70
Storage: -20°C/1 year
Clonality: Polyclonal
Isotype: IgG
Concentration: 1 mg/ml
Observed Band: 60kD
GeneID: 4089
Human Swiss-Prot No: Q13485
Cellular localization: Cytoplasm . Nucleus . Cytoplasmic in the absence of ligand. Migrates to the nucleus when complexed with R-SMAD (PubMed:15799969). PDPK1 prevents its nuclear translocation in response to TGF-beta (PubMed:17327236). .
Background: This gene encodes a member of the Smad family of signal transduction proteins. Smad proteins are phosphorylated and activated by transmembrane serine-threonine receptor kinases in response to TGF-beta signaling. The product of this gene forms homomeric complexes and heteromeric complexes with other activated Smad proteins, which then accumulate in the nucleus and regulate the transcription of target genes. This protein binds to DNA and recognizes an 8-bp palindromic sequence (GTCTAGAC) called the Smad-binding element (SBE). The Smad proteins are subject to complex regulation by post-translational modifications. Mutations or deletions in this gene have been shown to result in pancreatic cancer, juvenile polyposis syndrome, and hereditary hemorrhagic telangiectasia syndrome. [provided by RefSeq, Oct 2009],