Products

Arginase I rabbit pAb
One-click to copy product information
ES6028
Size: Price:
50 µL $148.00
100 µL $248.00

Overview

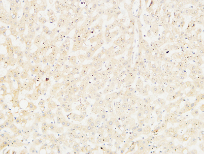
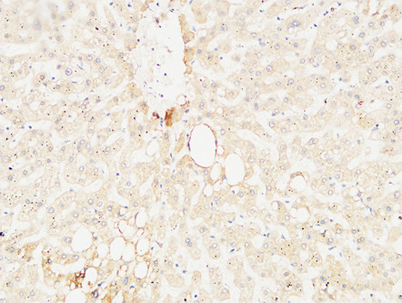
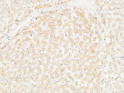
Product name: Arginase I rabbit pAb
Reactivity: Human;Mouse;Rat
Alternative Names: ARG1; Arginase-1; Liver-type arginase; Type I arginase
Source: Rabbit
Dilutions: IHC-p: 100-300.Western Blot: 1/500 - 1/2000. ELISA: 1/5000. Not yet tested in other applications.
Immunogen: The antiserum was produced against synthesized peptide derived from human ARG1. AA range:61-110
Storage: -20°C/1 year
Clonality: Polyclonal
Isotype: IgG
Concentration: 1 mg/ml
Observed Band: 35kD
GeneID: 383
Human Swiss-Prot No: P05089
Cellular localization: Cytoplasm . Cytoplasmic granule . Localized in azurophil granules of neutrophils (PubMed:15546957). .
Background: Arginase catalyzes the hydrolysis of arginine to ornithine and urea. At least two isoforms of mammalian arginase exist (types I and II) which differ in their tissue distribution, subcellular localization, immunologic crossreactivity and physiologic function. The type I isoform encoded by this gene, is a cytosolic enzyme and expressed predominantly in the liver as a component of the urea cycle. Inherited deficiency of this enzyme results in argininemia, an autosomal recessive disorder characterized by hyperammonemia. Two transcript variants encoding different isoforms have been found for this gene. [provided by RefSeq, Sep 2011],