Products

JAK3 rabbit pAb
One-click to copy product information
ES5976
Size: Price:
50 µL $148.00
100 µL $248.00

Overview

Product name: JAK3 rabbit pAb
Reactivity: Human;Mouse;Rat
Alternative Names: JAK3; Tyrosine-protein kinase JAK3; Janus kinase 3; JAK-3; Leukocyte janus kinase; L-JAK
Source: Rabbit
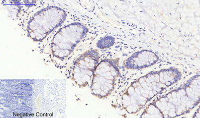
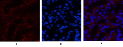
Dilutions: Western Blot: 1/500 - 1/2000. Immunohistochemistry: 1/100 - 1/300. Immunofluorescence: 1/200 - 1/1000. ELISA: 1/20000. Not yet tested in other applications.
Immunogen: The antiserum was produced against synthesized peptide derived from human JAK3. AA range:751-800
Storage: -20°C/1 year
Clonality: Polyclonal
Isotype: IgG
Concentration: 1 mg/ml
Observed Band: 125kD
GeneID: 3718
Human Swiss-Prot No: P52333
Cellular localization: Endomembrane system ; Peripheral membrane protein . Cytoplasm .
Background: The protein encoded by this gene is a member of the Janus kinase (JAK) family of tyrosine kinases involved in cytokine receptor-mediated intracellular signal transduction. It is predominantly expressed in immune cells and transduces a signal in response to its activation via tyrosine phosphorylation by interleukin receptors. Mutations in this gene are associated with autosomal SCID (severe combined immunodeficiency disease). [provided by RefSeq, Jul 2008],