$148.00/50µL $248.00/100µL
| 50 µL | $148.00 |
| 100 µL | $248.00 |
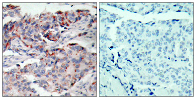
| Product name: | JAK2 (phospho Tyr221) rabbit pAb |
| Reactivity: | Human;Mouse;Rat |
| Alternative Names: | JAK2; Tyrosine-protein kinase JAK2; Janus kinase 2; JAK-2 |
| Source: | Rabbit |
| Dilutions: | Western Blot: 1/500 - 1/2000. Immunohistochemistry: 1/100 - 1/300. ELISA: 1/10000. Not yet tested in other applications. |
| Immunogen: | The antiserum was produced against synthesized peptide derived from human JAK2 around the phosphorylation site of Tyr221. AA range:191-240 |
| Storage: | -20°C/1 year |
| Clonality: | Polyclonal |
| Isotype: | IgG |
| Concentration: | 1 mg/ml |
| Observed Band: | 130kD |
| GeneID: | 3717 |
| Human Swiss-Prot No: | O60674 |
| Cellular localization: | Endomembrane system ; Peripheral membrane protein . Cytoplasm . Nucleus . |
| Background: | This gene product is a protein tyrosine kinase involved in a specific subset of cytokine receptor signaling pathways. It has been found to be constituitively associated with the prolactin receptor and is required for responses to gamma interferon. Mice that do not express an active protein for this gene exhibit embryonic lethality associated with the absence of definitive erythropoiesis. [provided by RefSeq, Jul 2008], |


