$148.00/50µL $248.00/100µL
| 50 µL | $148.00 |
| 100 µL | $248.00 |
| Product name: | hnRNP K (phospho Ser284) rabbit pAb |
| Reactivity: | Human;Mouse;Rat;Monkey |
| Alternative Names: | HNRNPK; HNRPK; Heterogeneous nuclear ribonucleoprotein K; hnRNP K; Transformation up-regulated nuclear protein; TUNP |
| Source: | Rabbit |
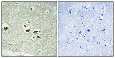
| Dilutions: | Western Blot: 1/500 - 1/2000. Immunohistochemistry: 1/100 - 1/300. ELISA: 1/20000. Not yet tested in other applications. |
| Immunogen: | The antiserum was produced against synthesized peptide derived from human hnRNP K around the phosphorylation site of Ser284. AA range:250-299 |
| Storage: | -20°C/1 year |
| Clonality: | Polyclonal |
| Isotype: | IgG |
| Concentration: | 1 mg/ml |
| Observed Band: | 51kD |
| GeneID: | 3190 |
| Human Swiss-Prot No: | P61978 |
| Cellular localization: | Cytoplasm . Nucleus, nucleoplasm . Cell projection, podosome . Recruited to p53/TP53-responsive promoters, in the presence of functional p53/TP53 (PubMed:16360036). In case of ASFV infection, there is a shift in the localization which becomes predominantly nuclear (PubMed:18775702). |
| Background: | This gene belongs to the subfamily of ubiquitously expressed heterogeneous nuclear ribonucleoproteins (hnRNPs). The hnRNPs are RNA binding proteins and they complex with heterogeneous nuclear RNA (hnRNA). These proteins are associated with pre-mRNAs in the nucleus and appear to influence pre-mRNA processing and other aspects of mRNA metabolism and transport. While all of the hnRNPs are present in the nucleus, some seem to shuttle between the nucleus and the cytoplasm. The hnRNP proteins have distinct nucleic acid binding properties. The protein encoded by this gene is located in the nucleoplasm and has three repeats of KH domains that binds to RNAs. It is distinct among other hnRNP proteins in its binding preference; it binds tenaciously to poly(C). This protein is also thought to have a role during cell cycle progession. Several alternatively spliced transcript variants have |


