$148.00/50µL $248.00/100µL
| 50 µL | $148.00 |
| 100 µL | $248.00 |
| Product name: | eRF3a rabbit pAb |
| Reactivity: | Human;Mouse;Rat |
| Alternative Names: | GSPT1; ERF3A; Eukaryotic peptide chain release factor GTP-binding subunit ERF3A; Eukaryotic peptide chain release factor subunit 3a; eRF3a; G1 to S phase transition protein 1 homolog |
| Source: | Rabbit |
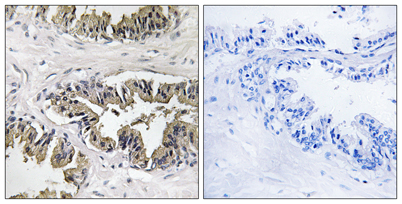
| Dilutions: | Western Blot: 1/500 - 1/2000. Immunohistochemistry: 1/100 - 1/300. ELISA: 1/40000. Not yet tested in other applications. |
| Immunogen: | The antiserum was produced against synthesized peptide derived from human GSPT1. AA range:101-150 |
| Storage: | -20°C/1 year |
| Clonality: | Polyclonal |
| Isotype: | IgG |
| Concentration: | 1 mg/ml |
| Observed Band: | 55kD |
| GeneID: | 2935 |
| Human Swiss-Prot No: | P15170 |
| Cellular localization: | intracellular,cytosol,translation release factor complex, |
| Background: | function:Involved in translation termination in response to the termination codons UAA, UAG and UGA. Stimulates the activity of ERF1. Involved in regulation of mammalian cell growth.,similarity:Belongs to the GTP-binding elongation factor family. ERF3 subfamily.,subunit:Component of the mRNA surveillance SURF complex, at least composed of ERF1, ERF3 (ERF3A or ERF3B), EEF2, UPF1/RENT1, SMG1, SMG8 and SMG9., |