$148.00/50µL $248.00/100µL
| 50 µL | $148.00 |
| 100 µL | $248.00 |
| Product name: | GluR-5 rabbit pAb |
| Reactivity: | Human;Mouse;Rat |
| Alternative Names: | GRIK1; GLUR5; Glutamate receptor; ionotropic kainate 1; Excitatory amino acid receptor 3; EAA3; Glutamate receptor 5; GluR-5; GluR5 |
| Source: | Rabbit |
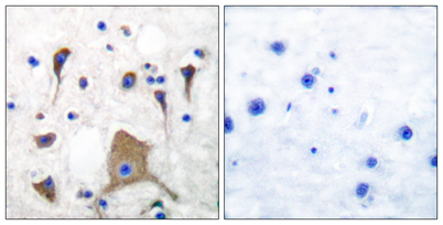
| Dilutions: | Western Blot: 1/500 - 1/2000. Immunohistochemistry: 1/100 - 1/300. ELISA: 1/40000. Not yet tested in other applications. |
| Immunogen: | The antiserum was produced against synthesized peptide derived from human GluR5. AA range:10-59 |
| Storage: | -20°C/1 year |
| Clonality: | Polyclonal |
| Isotype: | IgG |
| Concentration: | 1 mg/ml |
| Observed Band: | 100kD |
| GeneID: | 2897 |
| Human Swiss-Prot No: | P39086 |
| Cellular localization: | Cell membrane; Multi-pass membrane protein. Cell junction, synapse, postsynaptic cell membrane; Multi-pass membrane protein. |
| Background: | Glutamate receptors are the predominant excitatory neurotransmitter receptors in the mammalian brain and are activated in a variety of normal neurophysiologic processes. This gene product belongs to the kainate family of glutamate receptors, which are composed of four subunits and function as ligand-activated ion channels. The subunit encoded by this gene is subject to RNA editing (CAG->CGG; Q->R) within the second transmembrane domain, which is thought to alter the properties of ion flow. Alternative splicing, resulting in transcript variants encoding different isoforms, has been noted for this gene. [provided by RefSeq, Jul 2008], |


