Products

14-3-3 σ rabbit pAb
One-click to copy product information
ES5572
Size: Price:
50 µL $148.00
100 µL $248.00

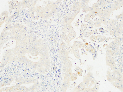
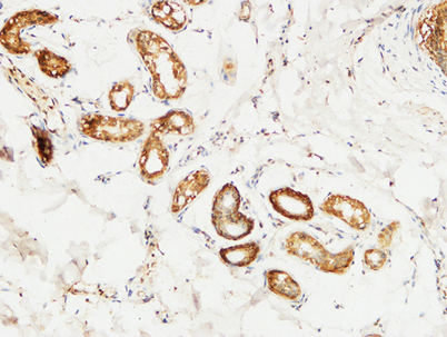
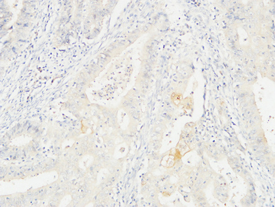
Overview

Product name: 14-3-3 σ rabbit pAb
Reactivity: Human;Mouse
Alternative Names: SFN; HME1; 14-3-3 protein sigma; Epithelial cell marker protein 1; Stratifin
Source: Rabbit
Dilutions: IHC-p: 100-300.Western Blot: 1/500 - 1/2000. ELISA: 1/20000. Not yet tested in other applications.
Immunogen: The antiserum was produced against synthesized peptide derived from human SFN. AA range:41-90
Storage: -20°C/1 year
Clonality: Polyclonal
Isotype: IgG
Concentration: 1 mg/ml
Observed Band: 30kD
GeneID: 2810
Human Swiss-Prot No: P31947
Cellular localization: Cytoplasm. Nucleus . Secreted. May be secreted by a non-classical secretory pathway.
Background: function:Adapter protein implicated in the regulation of a large spectrum of both general and specialized signaling pathway. Binds to a large number of partners, usually by recognition of a phosphoserine or phosphothreonine motif. Binding generally results in the modulation of the activity of the binding partner. When bound to KRT17, regulates protein synthesis and epithelial cell growth by stimulating Akt/mTOR pathway.,function:p53-regulated inhibitor of G2/M progression.,similarity:Belongs to the 14-3-3 family.,subcellular location:May be secreted by a non-classical secretory pathway.,subunit:Homodimer. Interacts with KRT17 (By similarity). Found in a complex with XPO7, EIF4A1, ARHGAP1, VPS26A, VPS29, VPS35 and SFN.,tissue specificity:Present mainly in tissues enriched in stratified squamous keratinising epithelium.,