$148.00/50µL $248.00/100µL
| 50 µL | $148.00 |
| 100 µL | $248.00 |
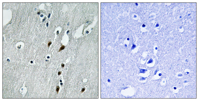
| Product name: | Pdcd-4 (phospho Ser457) rabbit pAb |
| Reactivity: | Human;Mouse;Rat |
| Alternative Names: | PDCD4; H731; Programmed cell death protein 4; Neoplastic transformation inhibitor protein; Nuclear antigen H731-like; Protein 197/15a |
| Source: | Rabbit |
| Dilutions: | Western Blot: 1/500 - 1/2000. Immunohistochemistry: 1/100 - 1/300. ELISA: 1/10000. Not yet tested in other applications. |
| Immunogen: | The antiserum was produced against synthesized peptide derived from human PDCD4 around the phosphorylation site of Ser457. AA range:420-469 |
| Storage: | -20°C/1 year |
| Clonality: | Polyclonal |
| Isotype: | IgG |
| Concentration: | 1 mg/ml |
| Observed Band: | 51kD |
| GeneID: | 27250 |
| Human Swiss-Prot No: | Q53EL6 |
| Cellular localization: | Nucleus . Cytoplasm . Shuttles between the nucleus and cytoplasm (By similarity). Predominantly nuclear under normal growth conditions, and when phosphorylated at Ser-457 (PubMed:16357133). . |
| Background: | This gene is a tumor suppressor and encodes a protein that binds to the eukaryotic translation initiation factor 4A1 and inhibits its function by preventing RNA binding. Alternative splicing results in multiple transcript variants. [provided by RefSeq, Dec 2010], |



