$148.00/50µL $248.00/100µL
| 50 µL | $148.00 |
| 100 µL | $248.00 |
| Product name: | NDR2 rabbit pAb |
| Reactivity: | Human;Mouse;Rat |
| Alternative Names: | STK38L; KIAA0965; NDR2; Serine/threonine-protein kinase 38-like; NDR2 protein kinase; Nuclear Dbf2-related kinase 2 |
| Source: | Rabbit |
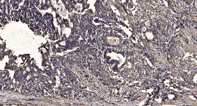
| Dilutions: | Western Blot: 1/500 - 1/2000.IHC-p:1:50-300 ELISA: 1/20000. Not yet tested in other applications. |
| Immunogen: | Synthesized peptide derived from NDR2 . at AA range: 380-460 |
| Storage: | -20°C/1 year |
| Clonality: | Polyclonal |
| Isotype: | IgG |
| Concentration: | 1 mg/ml |
| Observed Band: | 54kD |
| GeneID: | 23012 |
| Human Swiss-Prot No: | Q9Y2H1 |
| Cellular localization: | Cytoplasm. Cytoplasm, cytoskeleton. Membrane. Associated with the actin cytoskeleton. Co-localizes with STK24/MST3 in the membrane. |
| Background: | catalytic activity:ATP + a protein = ADP + a phosphoprotein.,cofactor:Magnesium.,enzyme regulation:Activated by binding of S100B which releases autoinhibitory N-lobe interactions, enabling ATP to bind and the autophosphorylation of Ser-282. Thr-442 then undergoes calcium-dependent phosphorylation by an upstream kinase. Interactions between phosphorylated Thr-442 and the N-lobe promote additional structural changes that complete the activation of the kinase. Autoinhibition is also released by the binding of MOB1/MOBKL1A and MOB2/HCCA2 to the N-terminal of STK38L.,function:Involved in the regulation of structural processes in differentiating and mature neuronal cells.,PTM:Phosphorylated upon DNA damage, probably by ATM or ATR.,similarity:Belongs to the protein kinase superfamily. AGC Ser/Thr protein kinase family.,similarity:Contains 1 AGC-kinase C-terminal domain.,similarity:Contains 1 protein kinase domain.,subcellular location:Associated with the actin cytoskeleton.,subunit:Homodimeric S100B binds two molecules of STK38L (By similarity). Interacts with MOB1 and MOB2.,tissue specificity:Ubiquitously expressed with highest levels observed in the thymus., |