$148.00/50µL $248.00/100µL
| 50 µL | $148.00 |
| 100 µL | $248.00 |
| Product name: | Arylsulfatase G rabbit pAb |
| Reactivity: | Human;Mouse;Rat |
| Alternative Names: | ARSG; KIAA1001; Arylsulfatase G; ASG |
| Source: | Rabbit |
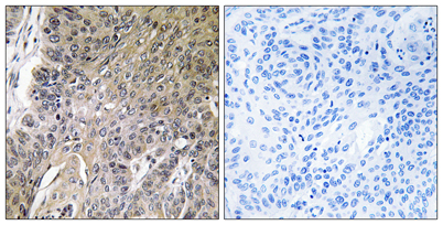
| Dilutions: | Western Blot: 1/500 - 1/2000. Immunohistochemistry: 1/100 - 1/300. ELISA: 1/40000. Not yet tested in other applications. |
| Immunogen: | The antiserum was produced against synthesized peptide derived from human ARSG. AA range:251-300 |
| Storage: | -20°C/1 year |
| Clonality: | Polyclonal |
| Isotype: | IgG |
| Concentration: | 1 mg/ml |
| Observed Band: | 65kD |
| GeneID: | 22901 |
| Human Swiss-Prot No: | Q96EG1 |
| Cellular localization: | Lysosome . The 63-kDa precursor protein localizes to pre-lysosomal compartments and tightly associates with organelle membranes, most likely the endoplasmic reticulum. In contrast, proteolytically processed fragments of 34-, 18- and 10-kDa are found in lysosomal fractions and lose their membrane association. . |
| Background: | The protein encoded by this gene belongs to the sulfatase enzyme family. Sulfatases hydrolyze sulfate esters from sulfated steroids, carbohydrates, proteoglycans, and glycolipids. They are involved in hormone biosynthesis, modulation of cell signaling, and degradation of macromolecules. This protein displays arylsulfatase activity at acidic pH, as is typical of lysosomal sulfatases, and has been shown to localize in the lysosomes. Alternatively spliced transcript variants have been found for this gene. [provided by RefSeq, Jun 2012], |



