$148.00/50µL $248.00/100µL
| 50 µL | $148.00 |
| 100 µL | $248.00 |
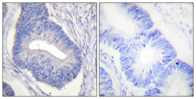
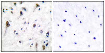
| Product name: | PYK2 (phospho Tyr580) rabbit pAb |
| Reactivity: | Human;Mouse;Rat |
| Alternative Names: | PTK2B; FAK2; PYK2; RAFTK; Protein-tyrosine kinase 2-beta; Calcium-dependent tyrosine kinase; CADTK; Calcium-regulated non-receptor proline-rich tyrosine kinase; Cell adhesion kinase beta; CAK-beta; CAKB; Focal adhesion kinase 2; FADK 2; Pro |
| Source: | Rabbit |
| Dilutions: | Western Blot: 1/500 - 1/2000. Immunohistochemistry: 1/100 - 1/300. ELISA: 1/40000. Not yet tested in other applications. |
| Immunogen: | The antiserum was produced against synthesized peptide derived from human PYK2 around the phosphorylation site of Tyr580. AA range:546-595 |
| Storage: | -20°C/1 year |
| Clonality: | Polyclonal |
| Isotype: | IgG |
| Concentration: | 1 mg/ml |
| Observed Band: | 130kD |
| GeneID: | 2185 |
| Human Swiss-Prot No: | Q14289 |
| Cellular localization: | Cytoplasm. Cytoplasm, perinuclear region. Cell membrane; Peripheral membrane protein; Cytoplasmic side. Cell junction, focal adhesion. Cell projection, lamellipodium. Cytoplasm, cell cortex. Nucleus. Interaction with NPHP1 induces the membrane-association of the kinase. Colocalizes with integrins at the cell periphery. |
| Background: | This gene encodes a cytoplasmic protein tyrosine kinase which is involved in calcium-induced regulation of ion channels and activation of the map kinase signaling pathway. The encoded protein may represent an important signaling intermediate between neuropeptide-activated receptors or neurotransmitters that increase calcium flux and the downstream signals that regulate neuronal activity. The encoded protein undergoes rapid tyrosine phosphorylation and activation in response to increases in the intracellular calcium concentration, nicotinic acetylcholine receptor activation, membrane depolarization, or protein kinase C activation. This protein has been shown to bind CRK-associated substrate, nephrocystin, GTPase regulator associated with FAK, and the SH2 domain of GRB2. The encoded protein is a member of the FAK subfamily of protein tyrosine kinases but lacks significant sequence similarity t |



