Products

TdT rabbit pAb
One-click to copy product information
ES5014
Size: Price:
50 µL $148.00
100 µL $248.00

Overview

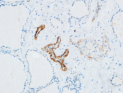
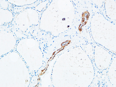
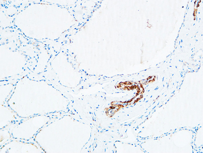
Product name: TdT rabbit pAb
Reactivity: Human;Rat;Mouse;
Alternative Names: DNTT; TDT; DNA nucleotidylexotransferase; Terminal addition enzyme; Terminal deoxynucleotidyltransferase; Terminal transferase
Source: Rabbit
Dilutions: IHC-p: 100-300.Western Blot: 1/500 - 1/2000. ELISA: 1/40000. Not yet tested in other applications.
Immunogen: The antiserum was produced against synthesized peptide derived from human DNTT. AA range:381-430
Storage: -20°C/1 year
Clonality: Polyclonal
Isotype: IgG
Concentration: 1 mg/ml
Observed Band: 60kD
GeneID: 1791
Human Swiss-Prot No: P04053
Cellular localization: Nucleus .
Background: This gene is a member of the DNA polymerase type-X family and encodes a template-independent DNA polymerase that catalyzes the addition of deoxynucleotides to the 3'-hydroxyl terminus of oligonucleotide primers. In vivo, the encoded protein is expressed in a restricted population of normal and malignant pre-B and pre-T lymphocytes during early differentiation, where it generates antigen receptor diversity by synthesizing non-germ line elements (N-regions) at the junctions of rearranged Ig heavy chain and T cell receptor gene segments. Alternatively spliced transcript variants encoding different isoforms of this gene have been described. [provided by RefSeq, Jul 2008],