$148.00/50µL $248.00/100µL
| 50 µL | $148.00 |
| 100 µL | $248.00 |
| Product name: | CHST13 rabbit pAb |
| Reactivity: | Human;Rat;Mouse; |
| Alternative Names: | CHST13; Carbohydrate sulfotransferase 13; Chondroitin 4-O-sulfotransferase 3; Chondroitin 4-sulfotransferase 3; C4ST-3; C4ST3 |
| Source: | Rabbit |
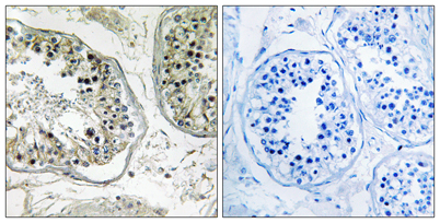
| Dilutions: | Western Blot: 1/500 - 1/2000. Immunohistochemistry: 1/100 - 1/300. ELISA: 1/40000. Not yet tested in other applications. |
| Immunogen: | The antiserum was produced against synthesized peptide derived from human CHST13. AA range:211-260 |
| Storage: | -20°C/1 year |
| Clonality: | Polyclonal |
| Isotype: | IgG |
| Concentration: | 1 mg/ml |
| Observed Band: | 39kD |
| GeneID: | 166012 |
| Human Swiss-Prot No: | Q8NET6 |
| Cellular localization: | Golgi apparatus membrane ; Single-pass type II membrane protein . |
| Background: | The protein encoded by this gene belongs to the sulfotransferase 2 family. It is localized to the golgi membrane, and catalyzes the transfer of sulfate to the C4 hydroxyl of beta-1,4-linked N-acetylgalactosamine (GalNAc) flanked by glucuronic acid residue in chondroitin. Chondroitin sulfate constitutes the predominant proteoglycan present in cartilage and is distributed on the surfaces of many cells and extracellular matrices. [provided by RefSeq, Aug 2011], |


