$148.00/50µL $248.00/100µL
| 50 µL | $148.00 |
| 100 µL | $248.00 |
| Product name: | GRK 2 (phospho Ser29) rabbit pAb |
| Reactivity: | Human;Mouse;Rat |
| Alternative Names: | ADRBK1; BARK; BARK1; GRK2; Beta-adrenergic receptor kinase 1; Beta-ARK-1; G-protein coupled receptor kinase 2 |
| Source: | Rabbit |
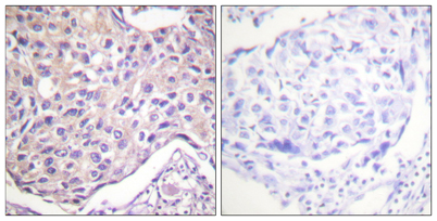
| Dilutions: | Western Blot: 1/500 - 1/2000. Immunohistochemistry: 1/100 - 1/300. ELISA: 1/10000. Not yet tested in other applications. |
| Immunogen: | The antiserum was produced against synthesized peptide derived from human GRK2 around the phosphorylation site of Ser29. AA range:14-63 |
| Storage: | -20°C/1 year |
| Clonality: | Polyclonal |
| Isotype: | IgG |
| Concentration: | 1 mg/ml |
| Observed Band: | 80kD |
| GeneID: | 156 |
| Human Swiss-Prot No: | P25098 |
| Cellular localization: | Cytoplasm . Cell membrane . Cell junction, synapse, postsynapse . Cell junction, synapse, presynapse . |
| Background: | The product of this gene phosphorylates the beta-2-adrenergic receptor and appears to mediate agonist-specific desensitization observed at high agonist concentrations. This protein is an ubiquitous cytosolic enzyme that specifically phosphorylates the activated form of the beta-adrenergic and related G-protein-coupled receptors. Abnormal coupling of beta-adrenergic receptor to G protein is involved in the pathogenesis of the failing heart. [provided by RefSeq, Jul 2008], |


