$148.00/50µL $248.00/100µL
| 50 µL | $148.00 |
| 100 µL | $248.00 |
| Product name: | AR α2A rabbit pAb |
| Reactivity: | Human;Mouse;Rat |
| Alternative Names: | ADRA2A; ADRA2R; ADRAR; Alpha-2A adrenergic receptor; Alpha-2 adrenergic receptor subtype C10; Alpha-2A adrenoreceptor; Alpha-2A adrenoceptor; Alpha-2AAR |
| Source: | Rabbit |
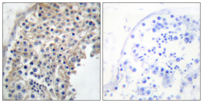
| Dilutions: | Western Blot: 1/500 - 1/2000. Immunohistochemistry: 1/100 - 1/300. Immunofluorescence: 1/200 - 1/1000. ELISA: 1/20000. Not yet tested in other applications. |
| Immunogen: | The antiserum was produced against synthesized peptide derived from human Adrenergic Receptor alpha-2A. AA range:331-380 |
| Storage: | -20°C/1 year |
| Clonality: | Polyclonal |
| Isotype: | IgG |
| Concentration: | 1 mg/ml |
| Observed Band: | 48kD |
| GeneID: | 150 |
| Human Swiss-Prot No: | P08913 |
| Cellular localization: | Cell membrane ; Multi-pass membrane protein . |
| Background: | Alpha-2-adrenergic receptors are members of the G protein-coupled receptor superfamily. They include 3 highly homologous subtypes: alpha2A, alpha2B, and alpha2C. These receptors have a critical role in regulating neurotransmitter release from sympathetic nerves and from adrenergic neurons in the central nervous system. Studies in mouse revealed that both the alpha2A and alpha2C subtypes were required for normal presynaptic control of transmitter release from sympathetic nerves in the heart and from central noradrenergic neurons; the alpha2A subtype inhibited transmitter release at high stimulation frequencies, whereas the alpha2C subtype modulated neurotransmission at lower levels of nerve activity. This gene encodes alpha2A subtype and it contains no introns in either its coding or untranslated sequences. [provided by RefSeq, Jul 2008], |



