$148.00/50µL $248.00/100µL
| 50 µL | $148.00 |
| 100 µL | $248.00 |
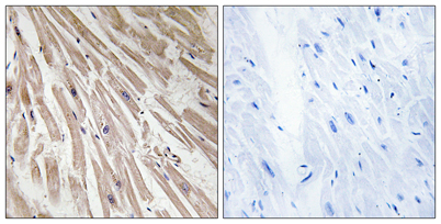
| Product name: | ARPP-21 rabbit pAb |
| Reactivity: | Human;Mouse |
| Alternative Names: | ARPP21; TARPP; cAMP-regulated phosphoprotein 21; ARPP-21; Thymocyte cAMP-regulated phosphoprotein |
| Source: | Rabbit |
| Dilutions: | Western Blot: 1/500 - 1/2000. Immunohistochemistry: 1/100 - 1/300. ELISA: 1/5000. Not yet tested in other applications. |
| Immunogen: | The antiserum was produced against synthesized peptide derived from human ARPP21. AA range:211-260 |
| Storage: | -20°C/1 year |
| Clonality: | Polyclonal |
| Isotype: | IgG |
| Concentration: | 1 mg/ml |
| Observed Band: | 80kD |
| GeneID: | 10777 |
| Human Swiss-Prot No: | Q9UBL0 |
| Cellular localization: | Cytoplasm . |
| Background: | This gene encodes a cAMP-regulated phosphoprotein. The encoded protein is enriched in the caudate nucleus and cerebellar cortex. A similar protein in mouse may be involved in regulating the effects of dopamine in the basal ganglia. Alternate splicing results in multiple transcript variants. [provided by RefSeq, Jun 2012], |


