$148.00/50µL $248.00/100µL
| 50 µL | $148.00 |
| 100 µL | $248.00 |
| Product name: | T-cadherin rabbit pAb |
| Reactivity: | Human;Mouse;Rat |
| Alternative Names: | CDH13; CDHH; Cadherin-13; Heart cadherin; H-cadherin; P105; Truncated cadherin; T-cad; T-cadherin |
| Source: | Rabbit |
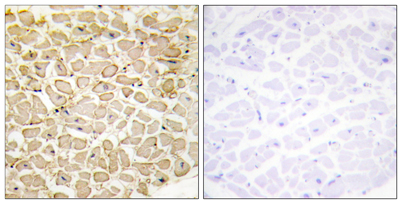
| Dilutions: | Western Blot: 1/500 - 1/2000. Immunohistochemistry: 1/100 - 1/300. Immunofluorescence: 1/200 - 1/1000. ELISA: 1/20000. Not yet tested in other applications. |
| Immunogen: | The antiserum was produced against synthesized peptide derived from human CDH13. AA range:331-380 |
| Storage: | -20°C/1 year |
| Clonality: | Polyclonal |
| Isotype: | IgG |
| Concentration: | 1 mg/ml |
| Observed Band: | 78kD |
| GeneID: | 1012 |
| Human Swiss-Prot No: | P55290 |
| Cellular localization: | Cell membrane; Lipid-anchor, GPI-anchor. |
| Background: | This gene encodes a member of the cadherin superfamily. The encoded protein is localized to the surface of the cell membrane and is anchored by a GPI moiety, rather than by a transmembrane domain. The protein lacks the cytoplasmic domain characteristic of other cadherins, and so is not thought to be a cell-cell adhesion glycoprotein. This protein acts as a negative regulator of axon growth during neural differentiation. It also protects vascular endothelial cells from apoptosis due to oxidative stress, and is associated with resistance to atherosclerosis. The gene is hypermethylated in many types of cancer. Alternative splicing results in multiple transcript variants encoding different isoforms. [provided by RefSeq, May 2011], |


