Products

IL-3Rα rabbit pAb
One-click to copy product information
ES4300
Size: Price:
50 µL $148.00
100 µL $248.00

Overview

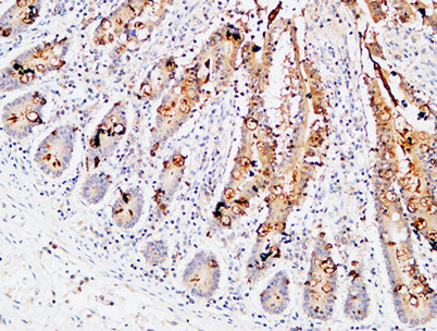
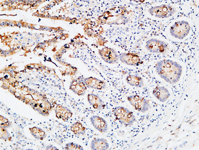
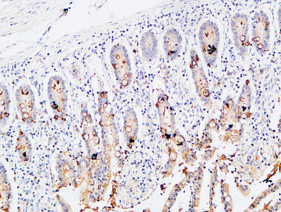
Product name: IL-3Rα rabbit pAb
Reactivity: Human;Rat;Mouse;
Alternative Names: IL3RA; IL3R; Interleukin-3 receptor subunit alpha; IL-3 receptor subunit alpha; IL-3R subunit alpha; IL-3R-alpha; IL-3RA; CD123
Source: Rabbit
Dilutions: IHC-p: 100-300.Western Blot: 1/500 - 1/2000. ELISA: 1/10000. Not yet tested in other applications.
Immunogen: The antiserum was produced against synthesized peptide derived from the Internal region of human IL3RA. AA range:241-290
Storage: -20°C/1 year
Clonality: Polyclonal
Isotype: IgG
Concentration: 1 mg/ml
Observed Band: 42kD
GeneID: 3563
Human Swiss-Prot No: P26951
Cellular localization: Membrane; Single-pass type I membrane protein.
Background: The protein encoded by this gene is an interleukin 3 specific subunit of a heterodimeric cytokine receptor. The receptor is comprised of a ligand specific alpha subunit and a signal transducing beta subunit shared by the receptors for interleukin 3 (IL3), colony stimulating factor 2 (CSF2/GM-CSF), and interleukin 5 (IL5). The binding of this protein to IL3 depends on the beta subunit. The beta subunit is activated by the ligand binding, and is required for the biological activities of IL3. This gene and the gene encoding the colony stimulating factor 2 receptor alpha chain (CSF2RA) form a cytokine receptor gene cluster in a X-Y pseudoautosomal region on chromosomes X or Y. Alternatively spliced transcript variants encoding distinct isoforms have been found. [provided by RefSeq, Jun 2012],