Products

ABCG2 rabbit pAb
One-click to copy product information
ES4288
Size: Price:
50 µL $148.00
100 µL $248.00

Overview

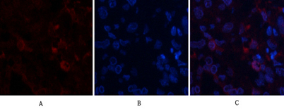
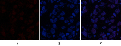
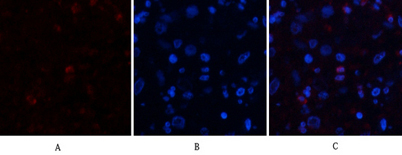
Product name: ABCG2 rabbit pAb
Reactivity: Human;Rat;Mouse;
Alternative Names: ABCG2; ABCP; BCRP; BCRP1; MXR; ATP-binding cassette sub-family G member 2; Breast cancer resistance protein; CDw338; Mitoxantrone resistance-associated protein; Placenta-specific ATP-binding cassette transporter; CD338
Source: Rabbit
Dilutions: IF: 1:50-200 Western Blot: 1/500 - 1/2000. IHC-p: 1:100-1:300. ELISA: 1/10000. Not yet tested in other applications.
Immunogen: The antiserum was produced against synthesized peptide derived from the Internal region of human ABCG2. AA range:461-510
Storage: -20°C/1 year
Clonality: Polyclonal
Isotype: IgG
Concentration: 1 mg/ml
Observed Band: 75kD
GeneID: 9429
Human Swiss-Prot No: Q9UNQ0
Cellular localization: Cell membrane ; Multi-pass membrane protein . Apical cell membrane ; Multi-pass membrane protein . Mitochondrion membrane ; Multi-pass membrane protein . Enriched in membrane lipid rafts. .
Background: The membrane-associated protein encoded by this gene is included in the superfamily of ATP-binding cassette (ABC) transporters. ABC proteins transport various molecules across extra- and intra-cellular membranes. ABC genes are divided into seven distinct subfamilies (ABC1, MDR/TAP, MRP, ALD, OABP, GCN20, White). This protein is a member of the White subfamily. Alternatively referred to as a breast cancer resistance protein, this protein functions as a xenobiotic transporter which may play a major role in multi-drug resistance. It likely serves as a cellular defense mechanism in response to mitoxantrone and anthracycline exposure. Significant expression of this protein has been observed in the placenta, which may suggest a potential role for this molecule in placenta tissue. Multiple transcript variants encoding different isoforms have been found for this gene.