$148.00/50µL $248.00/100µL
| 50 µL | $148.00 |
| 100 µL | $248.00 |
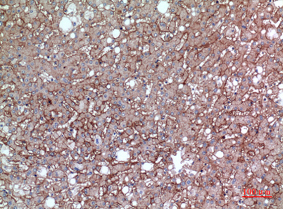
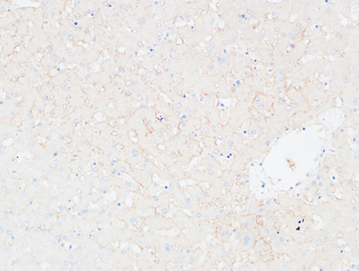
| Product name: | EMMPRIN rabbit pAb |
| Reactivity: | Human;Rat;Mouse; |
| Alternative Names: | BSG; Basigin; 5F7; Collagenase stimulatory factor; Extracellular matrix metalloproteinase inducer; EMMPRIN; Leukocyte activation antigen M6; OK blood group antigen; Tumor cell-derived collagenase stimulatory factor; TCSF; CD147 |
| Source: | Rabbit |
| Dilutions: | Western Blot: 1/500 - 1/2000. IHC-p: 1/100-1/300. ELISA: 1/20000. Not yet tested in other applications. |
| Immunogen: | The antiserum was produced against synthesized peptide derived from the Internal region of human BSG. AA range:221-270 |
| Storage: | -20°C/1 year |
| Clonality: | Polyclonal |
| Isotype: | IgG |
| Concentration: | 1 mg/ml |
| Observed Band: | 50kD |
| GeneID: | 682 |
| Human Swiss-Prot No: | P35613 |
| Cellular localization: | Melanosome . Identified by mass spectrometry in melanosome fractions from stage I to stage IV. .; [Isoform 1]: Cell membrane ; Single-pass type I membrane protein . Photoreceptor inner segment . Cell projection, cilium, photoreceptor outer segment .; [Isoform 2]: Cell membrane ; Single-pass type I membrane protein . Endosome . Endoplasmic reticulum membrane ; Single-pass type I membrane protein . Basolateral cell membrane ; Single-pass type I membrane protein .; [Isoform 3]: Cell membrane ; Single-pass type I membrane protein .; [Isoform 4]: Cell membrane ; Single-pass type I membrane protein . |
| Background: | The protein encoded by this gene is a plasma membrane protein that is important in spermatogenesis, embryo implantation, neural network formation, and tumor progression. The encoded protein is also a member of the immunoglobulin superfamily. Multiple transcript variants encoding different isoforms have been found for this gene. [provided by RefSeq, Jul 2008], |



