$148.00/50µL $248.00/100µL
| 50 µL | $148.00 |
| 100 µL | $248.00 |
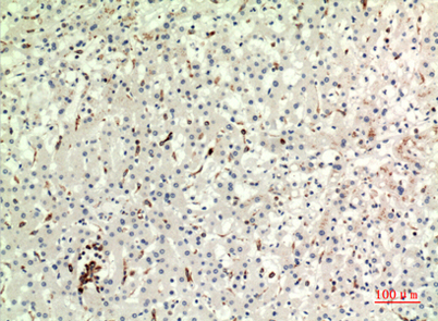
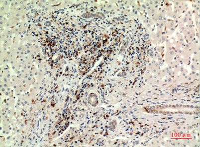
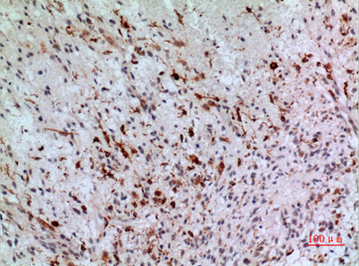
| Product name: | CD74 rabbit pAb |
| Reactivity: | Human;Rat;Mouse; |
| Alternative Names: | CD74; DHLAG; HLA class II histocompatibility antigen gamma chain; HLA-DR antigens-associated invariant chain; Ia antigen-associated invariant chain; Ii; p33; CD74 |
| Source: | Rabbit |
| Dilutions: | Western Blot: 1/500 - 1/2000. IHC-p: 1/100-1/300. ELISA: 1/20000. Not yet tested in other applications. |
| Immunogen: | The antiserum was produced against synthesized peptide derived from the Internal region of human CD74. AA range:161-210 |
| Storage: | -20°C/1 year |
| Clonality: | Polyclonal |
| Isotype: | IgG |
| Concentration: | 1 mg/ml |
| Observed Band: | 33kD |
| GeneID: | 972 |
| Human Swiss-Prot No: | P04233 |
| Cellular localization: | Cell membrane ; Single-pass type II membrane protein . Endoplasmic reticulum membrane. Golgi apparatus, trans-Golgi network. Endosome. Lysosome. Transits through a number of intracellular compartments in the endocytic pathway. It can either undergo proteolysis or reach the cell membrane.; [Isoform p41]: Late endosome . Lysosome . |
| Background: | The protein encoded by this gene associates with class II major histocompatibility complex (MHC) and is an important chaperone that regulates antigen presentation for immune response. It also serves as cell surface receptor for the cytokine macrophage migration inhibitory factor (MIF) which, when bound to the encoded protein, initiates survival pathways and cell proliferation. This protein also interacts with amyloid precursor protein (APP) and suppresses the production of amyloid beta (Abeta). Multiple alternatively spliced transcript variants encoding different isoforms have been identified. [provided by RefSeq, Aug 2011], |



