$148.00/50µL $248.00/100µL
| 50 µL | $148.00 |
| 100 µL | $248.00 |
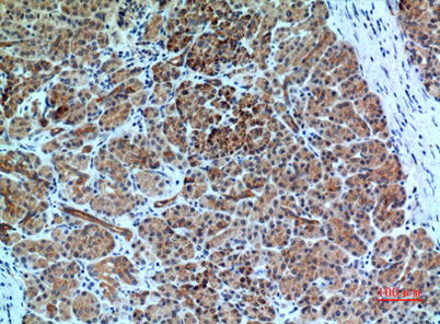
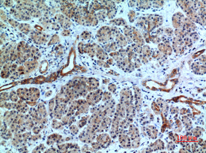
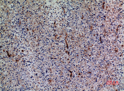
| Product name: | Bonzo rabbit pAb |
| Reactivity: | Human;Rat;Mouse; |
| Alternative Names: | CXCR6; BONZO; STRL33; TYMSTR; C-X-C chemokine receptor type 6; CXC-R6; CXCR-6; CDw186; G-protein coupled receptor STRL33; G-protein coupled receptor bonzo; CD186 |
| Source: | Rabbit |
| Dilutions: | Western Blot: 1/500 - 1/2000. IHC-p: 1/100-1/300. ELISA: 1/20000. Not yet tested in other applications. |
| Immunogen: | The antiserum was produced against synthesized peptide derived from the N-terminal region of human CXCR6. AA range:1-50 |
| Storage: | -20°C/1 year |
| Clonality: | Polyclonal |
| Isotype: | IgG |
| Concentration: | 1 mg/ml |
| Observed Band: | 39kD |
| GeneID: | 10663 |
| Human Swiss-Prot No: | O00574 |
| Cellular localization: | Cell membrane; Multi-pass membrane protein. |
| Background: | function:Receptor for the C-X-C chemokine CXCL16. Used as a coreceptor by SIVs and by strains of HIV-2 and m-tropic HIV-1.,online information:CXC chemokine receptors entry,similarity:Belongs to the G-protein coupled receptor 1 family.,tissue specificity:Expressed in lymphoid tissues and activated T cells., |



