$148.00/50µL $248.00/100µL
| 50 µL | $148.00 |
| 100 µL | $248.00 |
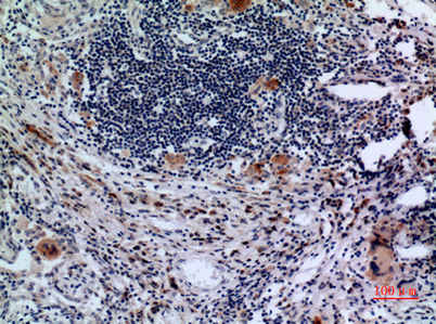
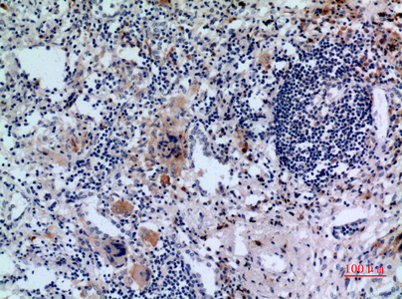
| Product name: | CD71/TfR rabbit pAb |
| Reactivity: | Human;Rat;Mouse; |
| Alternative Names: | TFRC; Transferrin receptor protein 1; TR; TfR; TfR1; Trfr; T9; p90; CD71 |
| Source: | Rabbit |
| Dilutions: | Western Blot: 1/500 - 1/2000. IHC-p: 1/100-1/300. ELISA: 1/20000. Not yet tested in other applications. |
| Immunogen: | The antiserum was produced against synthesized peptide derived from the N-terminal region of human TFRC. AA range:101-150 |
| Storage: | -20°C/1 year |
| Clonality: | Polyclonal |
| Isotype: | IgG |
| Concentration: | 1 mg/ml |
| Observed Band: | 85kD |
| GeneID: | 7037 |
| Human Swiss-Prot No: | P02786 |
| Cellular localization: | Cell membrane ; Single-pass type II membrane protein . Melanosome . Identified by mass spectrometry in melanosome fractions from stage I to stage IV. .; [Transferrin receptor protein 1, serum form]: Secreted . |
| Background: | This gene encodes a cell surface receptor necessary for cellular iron uptake by the process of receptor-mediated endocytosis. This receptor is required for erythropoiesis and neurologic development. Multiple alternatively spliced variants have been identified. [provided by RefSeq, Sep 2015], |



