$148.00/50µL $248.00/100µL
| 50 µL | $148.00 |
| 100 µL | $248.00 |
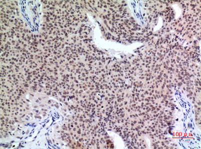
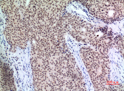
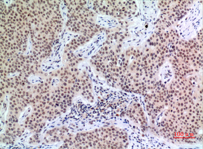
| Product name: | p57 rabbit pAb |
| Reactivity: | Human;Mouse;Rat |
| Alternative Names: | CDKN1C; KIP2; Cyclin-dependent kinase inhibitor 1C; Cyclin-dependent kinase inhibitor p57; p57Kip2 |
| Source: | Rabbit |
| Dilutions: | Western Blot: 1/500 - 1/2000. IHC-p: 1/100-1/300. ELISA: 1/20000. Not yet tested in other applications. |
| Immunogen: | The antiserum was produced against synthesized peptide derived from human p57Kip2 around the non-acetylation site of Lys278. AA range:241-290 |
| Storage: | -20°C/1 year |
| Clonality: | Polyclonal |
| Isotype: | IgG |
| Concentration: | 1 mg/ml |
| Observed Band: | 32kD |
| GeneID: | 1028 |
| Human Swiss-Prot No: | P49918 |
| Cellular localization: | Nucleus . |
| Background: | This gene is imprinted, with preferential expression of the maternal allele. The encoded protein is a tight-binding, strong inhibitor of several G1 cyclin/Cdk complexes and a negative regulator of cell proliferation. Mutations in this gene are implicated in sporadic cancers and Beckwith-Wiedemann syndorome, suggesting that this gene is a tumor suppressor candidate. Three transcript variants encoding two different isoforms have been found for this gene. [provided by RefSeq, Oct 2010], |



