$148.00/50µL $248.00/100µL
| 50 µL | $148.00 |
| 100 µL | $248.00 |
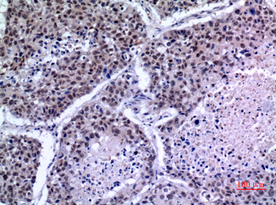
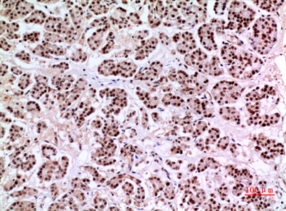
| Product name: | KLF13 rabbit pAb |
| Reactivity: | Human;Mouse |
| Alternative Names: | KLF13; BTEB3; NSLP1; Krueppel-like factor 13; Basic transcription element-binding protein 3; BTE-binding protein 3; Novel Sp1-like zinc finger transcription factor 1;RANTES factor of late activated T-lymphocytes 1; RFLAT-1; Transcription factor BTEB3; Transcription factor NSLP1 |
| Source: | Rabbit |
| Dilutions: | Western Blot: 1/500 - 1/2000. IHC-p: 1/100-1/300. ELISA: 1/20000. Not yet tested in other applications. |
| Immunogen: | The antiserum was produced against synthesized peptide derived from human KLF13 around the non-acetylation site of Lys166. AA range:131-180 |
| Storage: | -20°C/1 year |
| Clonality: | Polyclonal |
| Isotype: | IgG |
| Concentration: | 1 mg/ml |
| Observed Band: | 31kD |
| GeneID: | 51621 |
| Human Swiss-Prot No: | Q9Y2Y9 |
| Cellular localization: | Nucleus. |
| Background: | KLF13 belongs to a family of transcription factors that contain 3 classical zinc finger DNA-binding domains consisting of a zinc atom tetrahedrally coordinated by 2 cysteines and 2 histidines (C2H2 motif). These transcription factors bind to GC-rich sequences and related GT and CACCC boxes (Scohy et al., 2000 [PubMed 11087666]).[supplied by OMIM, Mar 2008], |



