Products

EPAS-1 rabbit pAb
One-click to copy product information
ES4055
Size: Price:
50 µL $148.00
100 µL $248.00

Overview

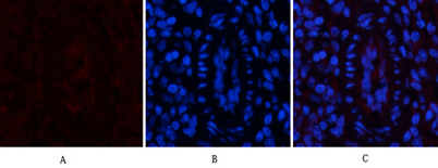
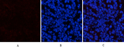
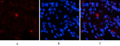
Product name: EPAS-1 rabbit pAb
Reactivity: Human;Mouse;Rat
Alternative Names: EPAS1; BHLHE73; HIF2A; MOP2; PASD2; Endothelial PAS domain-containing protein 1; EPAS-1; Basic-helix-loop-helix-PAS protein MOP2; Class E basic helix-loop-helix protein 73; bHLHe73;HIF-1-alpha-like factor; HLF; Hypoxia-inducible factor 2-alpha; HIF-2-alpha; HIF2-alpha; Member of PAS protein 2; PAS domain-containing protein 2
Source: Rabbit
Dilutions: IF: 1:50-200 Western Blot: 1/500 - 1/2000. IHC-p: 1/100-1/300. ELISA: 1/20000. Not yet tested in other applications.
Immunogen: Synthesized peptide derived from human EPAS-1 around the non-acetylation site of K385.
Storage: -20°C/1 year
Clonality: Polyclonal
Isotype: IgG
Concentration: 1 mg/ml
Observed Band: 96kD
GeneID: 2034
Human Swiss-Prot No: Q99814
Cellular localization: Nucleus . Nucleus speckle . Colocalizes with HIF3A in the nucleus and speckles. .
Background: endothelial PAS domain protein 1(EPAS1) Homo sapiens This gene encodes a transcription factor involved in the induction of genes regulated by oxygen, which is induced as oxygen levels fall. The encoded protein contains a basic-helix-loop-helix domain protein dimerization domain as well as a domain found in proteins in signal transduction pathways which respond to oxygen levels. Mutations in this gene are associated with erythrocytosis familial type 4. [provided by RefSeq, Nov 2009],