$148.00/50µL $248.00/100µL
| 50 µL | $148.00 |
| 100 µL | $248.00 |
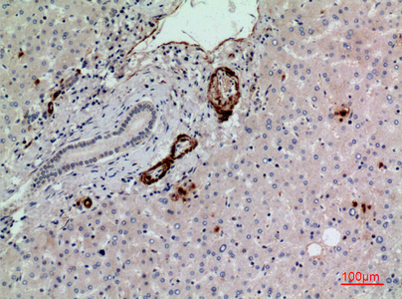
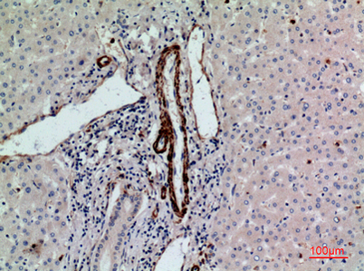
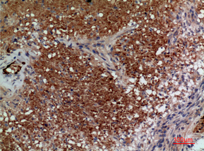
| Product name: | CD241 rabbit pAb |
| Reactivity: | Human;Rat;Mouse; |
| Alternative Names: | RHAG; RH50; Ammonium transporter Rh type A; Erythrocyte membrane glycoprotein Rh50; Erythrocyte plasma membrane 50 kDa glycoprotein; Rh50A; Rhesus blood group family type A glycoprotein;Rh family type A glycoprotein; Rh type A glycoprotein; Rhesus blood group-associated ammonia channel; Rhesus blood group-associated glycoprotein; CD241 |
| Source: | Rabbit |
| Dilutions: | Western Blot: 1/500 - 1/2000. IHC-p: 1:100-300 ELISA: 1/20000. Not yet tested in other applications. |
| Immunogen: | The antiserum was produced against synthesized peptide derived from the N-terminal region of human RHAG. AA range:1-50 |
| Storage: | -20°C/1 year |
| Clonality: | Polyclonal |
| Isotype: | IgG |
| Concentration: | 1 mg/ml |
| Observed Band: | 44kD |
| GeneID: | 6005 |
| Human Swiss-Prot No: | Q02094 |
| Cellular localization: | Membrane ; Multi-pass membrane protein. |
| Background: | The protein encoded by this gene is erythrocyte-specific and is thought to be part of a membrane channel that transports ammonium and carbon dioxide across the blood cell membrane. The encoded protein appears to interact with Rh blood group antigens and Rh30 polypeptides. Defects in this gene are a cause of regulator type Rh-null hemolytic anemia (RHN), or Rh-deficiency syndrome.[provided by RefSeq, Mar 2009], |



