Products

MDM2 rabbit pAb
One-click to copy product information
ES3916
Size: Price:
50 µL $148.00
100 µL $248.00

Overview

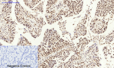
Product name: MDM2 rabbit pAb
Reactivity: Human;Rat;Mouse;
Alternative Names: MDM2; E3 ubiquitin-protein ligase Mdm2; Double minute 2 protein; Hdm2; Oncoprotein Mdm2; p53-binding protein Mdm2
Source: Rabbit
Dilutions: IF: 1:50-200 Western Blot: 1/500 - 1/2000. IHC-p: 1:100-300 ELISA: 1/20000. Not yet tested in other applications.
Immunogen: The antiserum was produced against synthesized peptide derived from the C-terminal region of human MDM2. AA range:381-430
Storage: -20°C/1 year
Clonality: Polyclonal
Isotype: IgG
Concentration: 1 mg/ml
Observed Band: 55kD
GeneID: 4193
Human Swiss-Prot No: Q00987
Cellular localization: Nucleus, nucleoplasm. Cytoplasm . Nucleus, nucleolus. Nucleus . Expressed predominantly in the nucleoplasm. Interaction with ARF(P14) results in the localization of both proteins to the nucleolus. The nucleolar localization signals in both ARF(P14) and MDM2 may be necessary to allow efficient nucleolar localization of both proteins. Colocalizes with RASSF1 isoform A in the nucleus.
Background: This gene encodes a nuclear-localized E3 ubiquitin ligase. The encoded protein can promote tumor formation by targeting tumor suppressor proteins, such as p53, for proteasomal degradation. This gene is itself transcriptionally-regulated by p53. Overexpression or amplification of this locus is detected in a variety of different cancers. There is a pseudogene for this gene on chromosome 2. Alternative splicing results in a multitude of transcript variants, many of which may be expressed only in tumor cells. [provided by RefSeq, Jun 2013],