Products

Angptl4 rabbit pAb
One-click to copy product information
ES3904
Size: Price:
50 µL $148.00
100 µL $248.00

Overview

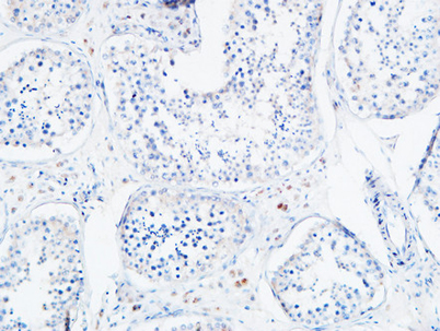
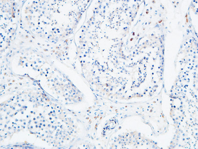
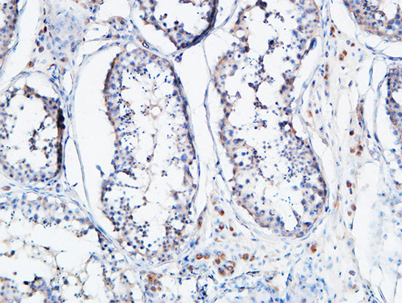
Product name: Angptl4 rabbit pAb
Reactivity: Human;Mouse;Rat
Alternative Names: ANGPTL4; ARP4; HFARP; PGAR; PP1158; PSEC0166; Angiopoietin-related protein 4; Angiopoietin-like protein 4; Hepatic fibrinogen/angiopoietin-related protein; HFARP
Source: Rabbit
Dilutions: IHC-p: 100-300.Western Blot: 1/500 - 1/2000. ELISA: 1/20000. Not yet tested in other applications.
Immunogen: The antiserum was produced against synthesized peptide derived from the Internal region of human ANGPTL4. AA range:301-350
Storage: -20°C/1 year
Clonality: Polyclonal
Isotype: IgG
Concentration: 1 mg/ml
Observed Band: 45kD
GeneID: 51129
Human Swiss-Prot No: Q9BY76
Cellular localization: Secreted . Secreted, extracellular space, extracellular matrix . The unprocessed form interacts with the extracellular matrix (PubMed:17068295, PubMed:21398697). This may constitute a dynamic reservoir, a regulatory mechanism of the bioavailability of ANGPTL4 (Probable). .
Background: This gene encodes a glycosylated, secreted protein containing a C-terminal fibrinogen domain. The encoded protein is induced by peroxisome proliferation activators and functions as a serum hormone that regulates glucose homeostasis, lipid metabolism, and insulin sensitivity. This protein can also act as an apoptosis survival factor for vascular endothelial cells and can prevent metastasis by inhibiting vascular growth and tumor cell invasion. The C-terminal domain may be proteolytically-cleaved from the full-length secreted protein. Decreased expression of this gene has been associated with type 2 diabetes. Alternative splicing results in multiple transcript variants. This gene was previously referred to as ANGPTL2 but has been renamed ANGPTL4. [provided by RefSeq, Sep 2013],