Products

Catalase rabbit pAb
One-click to copy product information
ES3885
Size: Price:
50 µL $148.00
100 µL $248.00

Overview

Product name: Catalase rabbit pAb
Reactivity: Human;Rat;Mouse;;Fish
Alternative Names: CAT; Catalase
Source: Rabbit
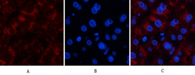
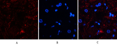
Dilutions: IF: 1:50-200 Western Blot: 1/500 - 1/2000. IHC-p: 1:100-300 ELISA: 1/20000. Not yet tested in other applications.
Immunogen: The antiserum was produced against synthesized peptide derived from the C-terminal region of human CAT. AA range:478-527
Storage: -20°C/1 year
Clonality: Polyclonal
Isotype: IgG
Concentration: 1 mg/ml
Observed Band: 60kD
GeneID: 847
Human Swiss-Prot No: P04040
Cellular localization: Peroxisome.
Background: This gene encodes catalase, a key antioxidant enzyme in the bodies defense against oxidative stress. Catalase is a heme enzyme that is present in the peroxisome of nearly all aerobic cells. Catalase converts the reactive oxygen species hydrogen peroxide to water and oxygen and thereby mitigates the toxic effects of hydrogen peroxide. Oxidative stress is hypothesized to play a role in the development of many chronic or late-onset diseases such as diabetes, asthma, Alzheimer's disease, systemic lupus erythematosus, rheumatoid arthritis, and cancers. Polymorphisms in this gene have been associated with decreases in catalase activity but, to date, acatalasemia is the only disease known to be caused by this gene. [provided by RefSeq, Oct 2009],