Products

IL-8 rabbit pAb
One-click to copy product information
ES3883
Size: Price:
50 µL $148.00
100 µL $248.00

Overview

Product name: IL-8 rabbit pAb
Reactivity: Human
Alternative Names: IL8; CXCL8; Interleukin-8; IL-8; C-X-C motif chemokine 8; Emoctakin; Granulocyte chemotactic protein 1; GCP-1; Monocyte-derived neutrophil chemotactic factor; MDNCF;Monocyte-derived neutrophil-activating peptide; MONAP; Neutrophil-activating protein 1; NAP-1; Protein 3-10C; T-cell chemotactic factor
Source: Rabbit
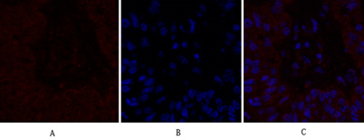
Dilutions: IF: 1:50-200 Western Blot: 1/500 - 1/2000. IHC-p: 1:100-300 ELISA: 1/20000. Not yet tested in other applications.
Immunogen: The antiserum was produced against synthesized peptide derived from the C-terminal region of human IL8. AA range:50-99
Storage: -20°C/1 year
Clonality: Polyclonal
Isotype: IgG
Concentration: 1 mg/ml
Observed Band: 11kD
GeneID: 3576
Human Swiss-Prot No: P10145
Cellular localization: Secreted.
Background: The protein encoded by this gene is a member of the CXC chemokine family. This chemokine is one of the major mediators of the inflammatory response. This chemokine is secreted by several cell types. It functions as a chemoattractant, and is also a potent angiogenic factor. This gene is believed to play a role in the pathogenesis of bronchiolitis, a common respiratory tract disease caused by viral infection. This gene and other ten members of the CXC chemokine gene family form a chemokine gene cluster in a region mapped to chromosome 4q. [provided by RefSeq, Jul 2008],