$148.00/50µL $248.00/100µL
| 50 µL | $148.00 |
| 100 µL | $248.00 |
| Product name: | β-1,3-Gal-TL rabbit pAb |
| Reactivity: | Human;Rat;Mouse; |
| Alternative Names: | B3GALTL; B3GTL; Beta-1; 3-glucosyltransferase; Beta3Glc-T; Beta-3-glycosyltransferase-like |
| Source: | Rabbit |
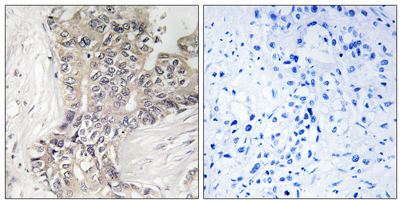
| Dilutions: | Western Blot: 1/500 - 1/2000. Immunohistochemistry: 1/100 - 1/300. ELISA: 1/40000. Not yet tested in other applications. |
| Immunogen: | The antiserum was produced against synthesized peptide derived from human B3GALTL. AA range:449-498 |
| Storage: | -20°C/1 year |
| Clonality: | Polyclonal |
| Isotype: | IgG |
| Concentration: | 1 mg/ml |
| Observed Band: | 57kD |
| GeneID: | 145173 |
| Human Swiss-Prot No: | Q6Y288 |
| Cellular localization: | Endoplasmic reticulum membrane ; Single-pass type II membrane protein . |
| Background: | The protein encoded by this gene is a beta-1,3-glucosyltransferase that transfers glucose to O-linked fucosylglycans on thrombospondin type-1 repeats (TSRs) of several proteins. The encoded protein is a type II membrane protein. Defects in this gene are a cause of Peters-plus syndrome (PPS).[provided by RefSeq, Mar 2009], |


