$148.00/50µL $248.00/100µL
| 50 µL | $148.00 |
| 100 µL | $248.00 |
| Product name: | YEATS2 rabbit pAb |
| Reactivity: | Human;Rat;Mouse; |
| Alternative Names: | YEATS2; KIAA1197; YEATS domain-containing protein 2 |
| Source: | Rabbit |
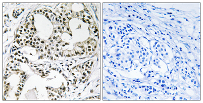
| Dilutions: | Western Blot: 1/500 - 1/2000. Immunohistochemistry: 1/100 - 1/300. ELISA: 1/5000. Not yet tested in other applications. |
| Immunogen: | The antiserum was produced against synthesized peptide derived from human YEATS2. AA range:341-390 |
| Storage: | -20°C/1 year |
| Clonality: | Polyclonal |
| Isotype: | IgG |
| Concentration: | 1 mg/ml |
| Observed Band: | 150kD |
| GeneID: | 55689 |
| Human Swiss-Prot No: | Q9ULM3 |
| Cellular localization: | Nucleus . |
| Background: | YEATS2 is a scaffolding subunit of the ADA2A (TADA2A; MIM 602276)-containing (ATAC) histone acetyltransferase complex (Wang et al., 2008 [PubMed 18838386]).[supplied by OMIM, Apr 2010], |

