Products

YAP rabbit pAb
One-click to copy product information
ES3719
Size: Price:
50 µL $148.00
100 µL $248.00

Overview

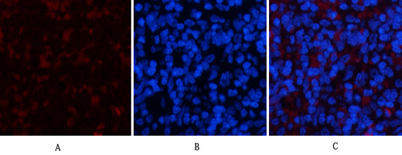
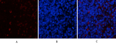
Product name: YAP rabbit pAb
Reactivity: Human;Mouse;Rat
Alternative Names: YAP1; YAP65; Yorkie homolog; 65 kDa Yes-associated protein; YAP65
Source: Rabbit
Dilutions: Western Blot: 1/500 - 1/2000. Immunohistochemistry: 1/100 - 1/300. Immunofluorescence: 1/200 - 1/1000. ELISA: 1/5000. Not yet tested in other applications.
Immunogen: The antiserum was produced against synthesized peptide derived from human YAP. AA range:281-330
Storage: -20°C/1 year
Clonality: Polyclonal
Isotype: IgG
Concentration: 1 mg/ml
Observed Band: 67kD
GeneID: 10413
Human Swiss-Prot No: P46937
Cellular localization: Cytoplasm . Nucleus . Both phosphorylation and cell density can regulate its subcellular localization (PubMed:18158288, PubMed:20048001). Phosphorylation sequesters it in the cytoplasm by inhibiting its translocation into the nucleus (PubMed:18158288, PubMed:20048001). At low density, predominantly nuclear and is translocated to the cytoplasm at high density (PubMed:18158288, PubMed:20048001, PubMed:25849865). PTPN14 induces translocation from the nucleus to the cytoplasm (PubMed:22525271). Localized mainly to the nucleus in the early stages of embryo development with expression becoming evident in the cytoplasm at the blastocyst and epiblast stages (By similarity). .
Background: This gene encodes a downstream nuclear effector of the Hippo signaling pathway which is involved in development, growth, repair, and homeostasis. This gene is known to play a role in the development and progression of multiple cancers as a transcriptional regulator of this signaling pathway and may function as a potential target for cancer treatment. Alternative splicing results in multiple transcript variants encoding different isoforms. [provided by RefSeq, Aug 2013],