$148.00/50µL $248.00/100µL
| 50 µL | $148.00 |
| 100 µL | $248.00 |
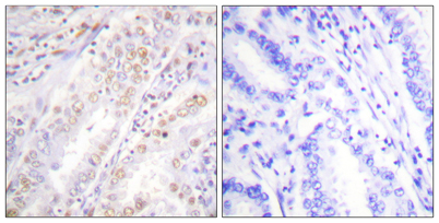
| Product name: | XRCC2 rabbit pAb |
| Reactivity: | Human;Rat;Mouse; |
| Alternative Names: | XRCC2; DNA repair protein XRCC2; X-ray repair cross-complementing protein 2 |
| Source: | Rabbit |
| Dilutions: | Western Blot: 1/500 - 1/2000. Immunohistochemistry: 1/100 - 1/300. ELISA: 1/10000. Not yet tested in other applications. |
| Immunogen: | The antiserum was produced against synthesized peptide derived from human XRCC2. AA range:211-260 |
| Storage: | -20°C/1 year |
| Clonality: | Polyclonal |
| Isotype: | IgG |
| Concentration: | 1 mg/ml |
| Observed Band: | 32kD |
| GeneID: | 7516 |
| Human Swiss-Prot No: | O43543 |
| Cellular localization: | Nucleus . Cytoplasm, cytoskeleton, microtubule organizing center, centrosome . |
| Background: | This gene encodes a member of the RecA/Rad51-related protein family that participates in homologous recombination to maintain chromosome stability and repair DNA damage. This gene is involved in the repair of DNA double-strand breaks by homologous recombination and it functionally complements Chinese hamster irs1, a repair-deficient mutant that exhibits hypersensitivity to a number of different DNA-damaging agents. [provided by RefSeq, Jul 2008], |

