$148.00/50µL $248.00/100µL
| 50 µL | $148.00 |
| 100 µL | $248.00 |
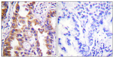
| Product name: | Tuberin rabbit pAb |
| Reactivity: | Human;Mouse;Rat |
| Alternative Names: | TSC2; TSC4; Tuberin; Tuberous sclerosis 2 protein |
| Source: | Rabbit |
| Dilutions: | Western Blot: 1/500 - 1/2000. Immunohistochemistry: 1/100 - 1/300. Immunofluorescence: 1/200 - 1/1000. ELISA: 1/10000. Not yet tested in other applications. |
| Immunogen: | The antiserum was produced against synthesized peptide derived from human Tuberin/TSC2. AA range:905-954 |
| Storage: | -20°C/1 year |
| Clonality: | Polyclonal |
| Isotype: | IgG |
| Concentration: | 1 mg/ml |
| Observed Band: | 200kD |
| GeneID: | 7249 |
| Human Swiss-Prot No: | P49815 |
| Cellular localization: | Cytoplasm. Membrane; Peripheral membrane protein. At steady state found in association with membranes. |
| Background: | Mutations in this gene lead to tuberous sclerosis complex. Its gene product is believed to be a tumor suppressor and is able to stimulate specific GTPases. The protein associates with hamartin in a cytosolic complex, possibly acting as a chaperone for hamartin. Alternative splicing results in multiple transcript variants encoding different isoforms. [provided by RefSeq, Jul 2008], |



