$148.00/50µL $248.00/100µL
| 50 µL | $148.00 |
| 100 µL | $248.00 |
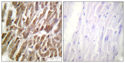
| Product name: | Troponin I-C rabbit pAb |
| Reactivity: | Human;Mouse;Rat |
| Alternative Names: | TNNI3; TNNC1; Troponin I; cardiac muscle; Cardiac troponin I |
| Source: | Rabbit |
| Dilutions: | Western Blot: 1/500 - 1/2000. Immunohistochemistry: 1/100 - 1/300. ELISA: 1/5000. Not yet tested in other applications. |
| Immunogen: | The antiserum was produced against synthesized peptide derived from human TNNI3. AA range:11-60 |
| Storage: | -20°C/1 year |
| Clonality: | Polyclonal |
| Isotype: | IgG |
| Concentration: | 1 mg/ml |
| Observed Band: | 26kD |
| GeneID: | 7137 |
| Human Swiss-Prot No: | P19429 |
| Cellular localization: | cytosol,troponin complex,sarcomere, |
| Background: | Troponin I (TnI), along with troponin T (TnT) and troponin C (TnC), is one of 3 subunits that form the troponin complex of the thin filaments of striated muscle. TnI is the inhibitory subunit; blocking actin-myosin interactions and thereby mediating striated muscle relaxation. The TnI subfamily contains three genes: TnI-skeletal-fast-twitch, TnI-skeletal-slow-twitch, and TnI-cardiac. This gene encodes the TnI-cardiac protein and is exclusively expressed in cardiac muscle tissues. Mutations in this gene cause familial hypertrophic cardiomyopathy type 7 (CMH7) and familial restrictive cardiomyopathy (RCM). [provided by RefSeq, Jul 2008], |


