Products

TGFβ RII rabbit pAb
One-click to copy product information
ES3596
Size: Price:
50 µL $148.00
100 µL $248.00

Overview

Product name: TGFβ RII rabbit pAb
Reactivity: Human;Mouse;Rat
Alternative Names: TGFBR2; TGF-beta receptor type-2; TGFR-2; TGF-beta type II receptor; Transforming growth factor-beta receptor type II; TGF-beta receptor type II; TbetaR-II
Source: Rabbit
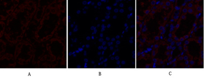
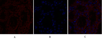
Dilutions: IF: 1:50-200 Western Blot: 1/500 - 1/2000. Immunohistochemistry: 1/100 - 1/300. ELISA: 1/20000. Not yet tested in other applications.
Immunogen: The antiserum was produced against synthesized peptide derived from human TGF beta Receptor II. AA range:91-140
Storage: -20°C/1 year
Clonality: Polyclonal
Isotype: IgG
Concentration: 1 mg/ml
Observed Band: 65kD
GeneID: 7048
Human Swiss-Prot No: P37173
Cellular localization: Cell membrane ; Single-pass type I membrane protein . Membrane raft .; [Isoform 3]: Secreted .
Background: This gene encodes a member of the Ser/Thr protein kinase family and the TGFB receptor subfamily. The encoded protein is a transmembrane protein that has a protein kinase domain, forms a heterodimeric complex with another receptor protein, and binds TGF-beta. This receptor/ligand complex phosphorylates proteins, which then enter the nucleus and regulate the transcription of a subset of genes related to cell proliferation. Mutations in this gene have been associated with Marfan Syndrome, Loeys-Deitz Aortic Aneurysm Syndrome, and the development of various types of tumors. Alternatively spliced transcript variants encoding different isoforms have been characterized. [provided by RefSeq, Jul 2008],