$148.00/50µL $248.00/100µL
| 50 µL | $148.00 |
| 100 µL | $248.00 |
| Product name: | TFIIIB90-1 rabbit pAb |
| Reactivity: | Human;Mouse |
| Alternative Names: | BRF1; BRF; GTF3B; TAF3B2; TAF3C; Transcription factor IIIB 90 kDa subunit; TFIIIB90; hTFIIIB90; B-related factor 1; BRF-1; hBRF; TAF3B2; TATA box-binding protein-associated factor; RNA polymerase III, subunit 2 |
| Source: | Rabbit |
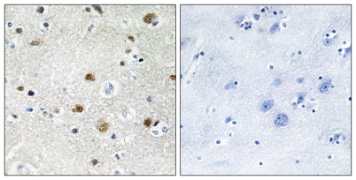
| Dilutions: | Western Blot: 1/500 - 1/2000. Immunohistochemistry: 1/100 - 1/300. Immunofluorescence: 1/200 - 1/1000. ELISA: 1/5000. Not yet tested in other applications. |
| Immunogen: | The antiserum was produced against synthesized peptide derived from human TF3B. AA range:231-280 |
| Storage: | -20°C/1 year |
| Clonality: | Polyclonal |
| Isotype: | IgG |
| Concentration: | 1 mg/ml |
| Observed Band: | 74kD |
| GeneID: | 2972 |
| Human Swiss-Prot No: | Q92994 |
| Cellular localization: | Nucleus . |
| Background: | This gene encodes one of the three subunits of the RNA polymerase III transcription factor complex. This complex plays a central role in transcription initiation by RNA polymerase III on genes encoding tRNA, 5S rRNA, and other small structural RNAs. The gene product belongs to the TF2B family. Several alternatively spliced variants encoding different isoforms, that function at different promoters transcribed by RNA polymerase III, have been identified. [provided by RefSeq, Jun 2011], |



