$148.00/50µL $248.00/100µL
| 50 µL | $148.00 |
| 100 µL | $248.00 |
| Product name: | TAF II p100 rabbit pAb |
| Reactivity: | Human;Mouse |
| Alternative Names: | TAF5; TAF2D; Transcription initiation factor TFIID subunit 5; Transcription initiation factor TFIID 100 kDa subunit; TAF(II)100; TAFII-100; TAFII100 |
| Source: | Rabbit |
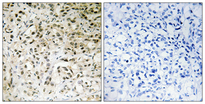
| Dilutions: | Western Blot: 1/500 - 1/2000. Immunohistochemistry: 1/100 - 1/300. ELISA: 1/5000. Not yet tested in other applications. |
| Immunogen: | The antiserum was produced against synthesized peptide derived from human TAF5. AA range:381-430 |
| Storage: | -20°C/1 year |
| Clonality: | Polyclonal |
| Isotype: | IgG |
| Concentration: | 1 mg/ml |
| Observed Band: | 87kD |
| GeneID: | 6877 |
| Human Swiss-Prot No: | Q15542 |
| Cellular localization: | Nucleus. |
| Background: | Initiation of transcription by RNA polymerase II requires the activities of more than 70 polypeptides. The protein that coordinates these activities is transcription factor IID (TFIID), which binds to the core promoter to position the polymerase properly, serves as the scaffold for assembly of the remainder of the transcription complex, and acts as a channel for regulatory signals. TFIID is composed of the TATA-binding protein (TBP) and a group of evolutionarily conserved proteins known as TBP-associated factors or TAFs. TAFs may participate in basal transcription, serve as coactivators, function in promoter recognition or modify general transcription factors (GTFs) to facilitate complex assembly and transcription initiation. This gene encodes an integral subunit of TFIID associated with all transcriptionally competent forms of that complex. This subunit interacts strongly wi |


