$148.00/50µL $248.00/100µL
| 50 µL | $148.00 |
| 100 µL | $248.00 |
| Product name: | SYP rabbit pAb |
| Reactivity: | Human;Mouse;Rat |
| Alternative Names: | SYP; Synaptophysin; Major synaptic vesicle protein p38 |
| Source: | Rabbit |
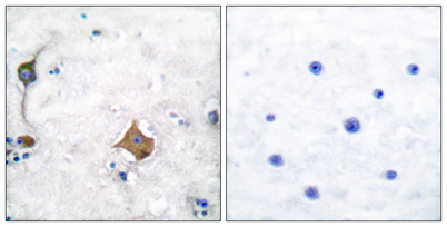
| Dilutions: | Western Blot: 1/500 - 1/2000. Immunohistochemistry: 1/100 - 1/300. ELISA: 1/10000. Not yet tested in other applications. |
| Immunogen: | The antiserum was produced against synthesized peptide derived from human Synaptophysin. AA range:101-150 |
| Storage: | -20°C/1 year |
| Clonality: | Polyclonal |
| Isotype: | IgG |
| Concentration: | 1 mg/ml |
| Observed Band: | 38kD |
| GeneID: | 6855 |
| Human Swiss-Prot No: | P08247 |
| Cellular localization: | Cytoplasmic vesicle, secretory vesicle, synaptic vesicle membrane ; Multi-pass membrane protein . Cell junction, synapse, synaptosome . |
| Background: | This gene encodes an integral membrane protein of small synaptic vesicles in brain and endocrine cells. The protein also binds cholesterol and is thought to direct targeting of vesicle-associated membrane protein 2 (synaptobrevin) to intracellular compartments. Mutations in this gene are associated with X-linked mental retardation (XLMR). [provided by RefSeq, Aug 2011], |


