Products

Synapsin I rabbit pAb
One-click to copy product information
ES3531
Size: Price:
50 µL $148.00
100 µL $248.00

Overview

Product name: Synapsin I rabbit pAb
Reactivity: Human;Mouse;Rat
Alternative Names: SYN1; Synapsin-1; Brain protein 4.1; Synapsin I
Source: Rabbit
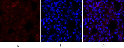
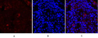
Dilutions: Western Blot: 1/500 - 1/2000. Immunohistochemistry: 1/100 - 1/300. Immunofluorescence: 1/200 - 1/1000. ELISA: 1/20000. Not yet tested in other applications.
Immunogen: The antiserum was produced against synthesized peptide derived from human Synapsin. AA range:3-52
Storage: -20°C/1 year
Clonality: Polyclonal
Isotype: IgG
Concentration: 1 mg/ml
Observed Band: 74kD
GeneID: 6853
Human Swiss-Prot No: P17600
Cellular localization: Cell junction, synapse. Golgi apparatus .
Background: This gene is a member of the synapsin gene family. Synapsins encode neuronal phosphoproteins which associate with the cytoplasmic surface of synaptic vesicles. Family members are characterized by common protein domains, and they are implicated in synaptogenesis and the modulation of neurotransmitter release, suggesting a potential role in several neuropsychiatric diseases. This member of the synapsin family plays a role in regulation of axonogenesis and synaptogenesis. The protein encoded serves as a substrate for several different protein kinases and phosphorylation may function in the regulation of this protein in the nerve terminal. Mutations in this gene may be associated with X-linked disorders with primary neuronal degeneration such as Rett syndrome. Alternatively spliced transcript variants encoding different isoforms have been identified. [provided by RefSeq, Jul 2008],