Home
Products
Antibodies
Monoclonal Antibodies
Polyclonal Antibodies
Secondary Antibodies
Internal control /Tag Antibody
ELISA Kits
Precoated ELISA Kit
Easy Step ELISA Kit
High Sensitivity ELISA Kit
Microsample ELISA Kit
Molecular products
Nucleic Acid Purification
qPCR/RT-PCR
Cloning System
DNA Molecular Weight Standard
Nipah virus detection kit
Biochemical assay
Cell assay
Biochemical assay kit
Proteins
Recombinant Proteins
Research Area
Promotions
Technical
Publications
Technical Discuss
Experimental Tips
Technical FAQs
Download
News
Company News
Industry News
e-Brochures
About Us
Company Profile
Contact Us
Customer Review
Recruitment
Distributors
Home
Products
Antibodies
Monoclonal Antibodies
Polyclonal Antibodies
Secondary Antibodies
Internal control /Tag Antibody
ELISA Kits
Precoated ELISA Kit
Easy Step ELISA Kit
High Sensitivity ELISA Kit
Microsample ELISA Kit
Molecular products
Nucleic Acid Purification
qPCR/RT-PCR
Cloning System
DNA Molecular Weight Standard
Nipah virus detection kit
Biochemical assay
Cell assay
Biochemical assay kit
Proteins
Recombinant Proteins
Research Area
Promotions
Promotions
Technical
Publications
Technical Discuss
Experimental Tips
Technical FAQs
Download
News
Company News
Industry News
e-Brochures
About Us
Company Profile
Contact Us
Customer Review
Recruitment
Distributors
Products
Antibodies
ELISA Kits
Molecular products
Biochemical assay
Proteins
SRE-ZBP rabbit pAb
One-click to copy product information
ES3497
$148.00/50µL $248.00/100µL
Size:
Price:
50 µL
$148.00
100 µL
$248.00
Manual
Send email to us
Overview
Product name:
SRE-ZBP rabbit pAb
Reactivity:
Human;Rat;Mouse;
Alternative Names:
ZNF187; ZSCAN26; Zinc finger protein 187; Protein SRE-ZBP; Zinc finger and SCAN domain-containing protein 26
Source:
Rabbit
Dilutions:
Western Blot: 1/500 - 1/2000. Immunofluorescence: 1/200 - 1/1000. ELISA: 1/5000. Not yet tested in other applications.
Immunogen:
The antiserum was produced against synthesized peptide derived from human ZNF187. AA range:51-100
Storage:
-20°C/1 year
Clonality:
Polyclonal
Isotype:
IgG
Concentration:
1 mg/ml
Observed Band:
55kD
GeneID:
7741
Human Swiss-Prot No:
Q16670
Cellular localization:
Nucleus .
Background:
function:May be involved in transcriptional regulation.,induction:By serum stimulation.,similarity:Contains 1 SCAN box domain.,similarity:Contains 8 C2H2-type zinc fingers.,
Western Blot analysis of various cells using SRE-ZBP Polyclonal Antibody cells nucleus extracted by Minute TM Cytoplasmic and Nuclear Fractionation kit (SC-003,Inventbiotech,MN,USA).
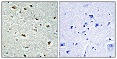
Immunohistochemical analysis of paraffin-embedded Human brain. Antibody was diluted at 1:100(4° overnight). High-pressure and temperature Tris-EDTA,pH8.0 was used for antigen retrieval. Negetive contrl (right) obtaned from antibody was pre-absorbed by immunogen peptide.
Immunofluorescence analysis of A549 cells, using ZNF187 Antibody. The picture on the right is blocked with the synthesized peptide.
Western blot analysis of lysates from Jurkat and HUVEC cells, using ZNF187 Antibody. The lane on the right is blocked with the synthesized peptide.