$148.00/50µL $248.00/100µL
| 50 µL | $148.00 |
| 100 µL | $248.00 |
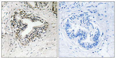
| Product name: | Ribosomal Protein L30 rabbit pAb |
| Reactivity: | Human;Mouse;Rat;Monkey |
| Alternative Names: | RPL30; 60S ribosomal protein L30 |
| Source: | Rabbit |
| Dilutions: | Western Blot: 1/500 - 1/2000. Immunohistochemistry: 1/100 - 1/300. ELISA: 1/40000. Not yet tested in other applications. |
| Immunogen: | The antiserum was produced against synthesized peptide derived from human RPL30. AA range:66-115 |
| Storage: | -20°C/1 year |
| Clonality: | Polyclonal |
| Isotype: | IgG |
| Concentration: | 1 mg/ml |
| Observed Band: | 13kD |
| GeneID: | 6156 |
| Human Swiss-Prot No: | P62888 |
| Cellular localization: | nucleus,cytoplasm,cytosol,ribosome,focal adhesion,membrane,cytosolic large ribosomal subunit,extracellular matrix,extracellular exosome, |
| Background: | Ribosomes, the organelles that catalyze protein synthesis, consist of a small 40S subunit and a large 60S subunit. Together these subunits are composed of 4 RNA species and approximately 80 structurally distinct proteins. This gene encodes a ribosomal protein that is a component of the 60S subunit. The protein belongs to the L30E family of ribosomal proteins. It is located in the cytoplasm. This gene is co-transcribed with the U72 small nucleolar RNA gene, which is located in its fourth intron. As is typical for genes encoding ribosomal proteins, there are multiple processed pseudogenes of this gene dispersed through the genome. [provided by RefSeq, Jul 2008], |



