Products

Rho A rabbit pAb
One-click to copy product information
ES3349
Size: Price:
50 µL $148.00
100 µL $248.00

Overview

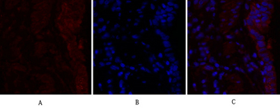
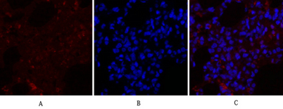
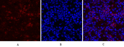
Product name: Rho A rabbit pAb
Reactivity: Human;Mouse;Rat
Alternative Names: RHOA; ARH12; ARHA; RHO12; Transforming protein RhoA; Rho cDNA clone 12; h12
Source: Rabbit
Dilutions: IF: 1:50-200 Western Blot: 1/500 - 1/2000. Immunohistochemistry: 1/100 - 1/300. ELISA: 1/5000. Not yet tested in other applications.
Immunogen: The antiserum was produced against synthesized peptide derived from human RhoA. AA range:144-193
Storage: -20°C/1 year
Clonality: Polyclonal
Isotype: IgG
Concentration: 1 mg/ml
Observed Band: 22kD
GeneID: 387
Human Swiss-Prot No: P61586
Cellular localization: Cell membrane; Lipid-anchor; Cytoplasmic side. Cytoplasm, cytoskeleton. Cleavage furrow. Cytoplasm, cell cortex . Midbody. Cell projection, lamellipodium . Cell projection, dendrite . Nucleus . Localized to cell-cell contacts in calcium-treated keratinocytes (By similarity). Translocates to the equatorial region before furrow formation in a ECT2-dependent manner. Localizes to the equatorial cell cortex (at the site of the presumptive furrow) in early anaphase in an activated form and in a myosin- and actin-independent manner. .
Background: This gene encodes a member of the Rho family of small GTPases, which cycle between inactive GDP-bound and active GTP-bound states and function as molecular switches in signal transduction cascades. Rho proteins promote reorganization of the actin cytoskeleton and regulate cell shape, attachment, and motility. Overexpression of this gene is associated with tumor cell proliferation and metastasis. Multiple alternatively spliced variants have been identified. [provided by RefSeq, Sep 2015],