$148.00/50µL $248.00/100µL
| 50 µL | $148.00 |
| 100 µL | $248.00 |
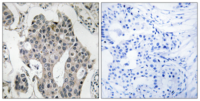
| Product name: | Rab 3 GAP p150 rabbit pAb |
| Reactivity: | Human;Mouse;Rat;Monkey |
| Alternative Names: | RAB3GAP2; KIAA0839; Rab3 GTPase-activating protein non-catalytic subunit; RGAP-iso; Rab3 GTPase-activating protein 150 kDa subunit; Rab3-GAP p150; Rab3-GAP150; Rab3-GAP regulatory subunit |
| Source: | Rabbit |
| Dilutions: | Western Blot: 1/500 - 1/2000. Immunohistochemistry: 1/100 - 1/300. ELISA: 1/40000. Not yet tested in other applications. |
| Immunogen: | The antiserum was produced against synthesized peptide derived from human RAB3GAP2. AA range:417-466 |
| Storage: | -20°C/1 year |
| Clonality: | Polyclonal |
| Isotype: | IgG |
| Concentration: | 1 mg/ml |
| Observed Band: | 156kD |
| GeneID: | 25782 |
| Human Swiss-Prot No: | Q9H2M9 |
| Cellular localization: | Cytoplasm. In neurons, it is enriched in the synaptic soluble fraction. |
| Background: | The protein encoded by this gene belongs to the RAB3 protein family, members of which are involved in regulated exocytosis of neurotransmitters and hormones. This protein forms the Rab3 GTPase-activating complex with RAB3GAP1, where it constitutes the regulatory subunit, whereas the latter functions as the catalytic subunit. This gene has the highest level of expression in the brain, consistent with it having a key role in neurodevelopment. Mutations in this gene are associated with Martsolf syndrome.[provided by RefSeq, Oct 2009], |


